Mihai Viteazul tér 2 szám Sepsiszentgyörgy, Kovászna megye

Gyermekfogászat

A gyermekeink fogászati ellátása is lehet örömteli és élvezetes a gyermekek számára. Fontosnak tartjuk, hogy megnyugtató és gyermekbarát környezetet biztosítsunk a legkisebbeknek, hiszen fogaik egészségének megőrzése, helyreállítása mellett talán egy életre meghatározzuk a fogászati ellátáshoz fűződő viszonyukat. Szeretnénk aktív szereplői lenni fogápolási és szájhigiéniai kultúrájuk alakításában, hiszen ezt is tanulni kell.


Elérhetőek nálunk:
  • Fehér és színes fogtömések
  • Barázdazárás
  • Depurálás
  • Fluorizálás
  • Gyökérkezelés
  • Szájápolási tréning

KELLEMES ÉLMÉNY KELL, HOGY LEGYEN A LÁTOGATÁS A FOGORVOSNÁL!
  • Játékos bevezetővel kezdünk, amely során minden fogászati eszközt kipróbálhatnak. Így például a szék liftként is funkcionál, a nyálszívó nem egy ijesztő, zajos szerkezet, hanem egy izgalmas vízszivattyú.
  • A vizsgálat, kezelés akkor kezdődik, ha a gyermek ellazult és készen áll. Türelmes gyermekfogászaink mindenképpen megvárják ezt a pillanatot.
  • A vizsgálatot, kezelést a gyermek irányítja, bármikor jelezheti, ha egy kis szünetet szeretne kérni.
  • Ha fogtömésre van szükség, színes töméseink közül is lehet választani, például szép rózsaszínt, kalóz kéket, vagy akár hópihe fehéret.
  • A fogápolási tréning is, amely során egy nagy fogsor modellen mutatjuk be a helyes technikát, amit utána együtt is gyakorolunk a gyermekekkel.
  • A jutalom nem maradhat el a bátorságért! Állandó meglepetések a gyerekeknek!                              

Kellemes, barátságos, nyugodt környezet már a váróteremben! Mesefilmek nézésének lehetősége biztosítva van klinikánkon.

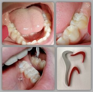
Barázdazárás

Sajnos sokan nincsenek tisztában a barázdazárás fontosságával, pedig ezzel a módszerrel nagy mértékben meg lehet akadályozni a barázdákban induló fogszuvasodást. Ez a kezelés elsősorban gyermekkorban válik szükségessé, így a szülőknek érdemes odafigyelni erre.

A barázdazárás egyáltalán nem fájdalmas, csupán apróbb kellemetlenségekkel jár a gyermek számára (savanyú íz, szájnyitás pár percig), így kedvező alkalmat nyújt a fogorvossal való megismerkedéshez.

De mi is az a fogbarázda?

A fogbarázda a kisőrlő és nagyőrlő fogak rágófelületén található, pontosan a rágáshoz szükséges kiemelkedő csücskök között. Ezek a barázdák lehetnek túl mélyen, mely esetén az nehezen tisztítható, így könnyedén elkezdődhet a fogszuvasodás.

A barázdazárás menete

Minden esetben egy alapos tisztítással kezdődik a kezelés, majd fúrás nélkül különleges, nagy behatoló képességű tömőanyagot visz fel a fogorvos a fog felszínére, amely befolyik a barázdák mélyére, így elzárja a szuvasodást keltő lepedék bejutásának útját.

Az anyag 2-3 évig garantálja az alatta lévő fogállomány épségét. Ennek elteltével a barázdazárást ajánlatos megújítani, mivel az kopik.

Nyitvatartás - Fogászat

Dr. Balogh Melinda

Hétfő: 11.00-17.00
Kedd: 10.00-15.00
Szerda: 10.00-14.00
Csütörtök: 11.00-17.00
Péntek: 9.00-14.00

 
Dr. Fábián Zoltán

Péntek: 9.00-12.00

Kapcsolat

Mihai Viteazul tér 2 szám
Sepsiszentgyörgy, 520008
Kovászna megye, RO 

Időpontfoglalás

Kérjen időpontot online

This site is registered on wpml.org as a development site. Switch to a production site key to remove this banner.